رصاصة طائشة تصيب مدرب الشعلة

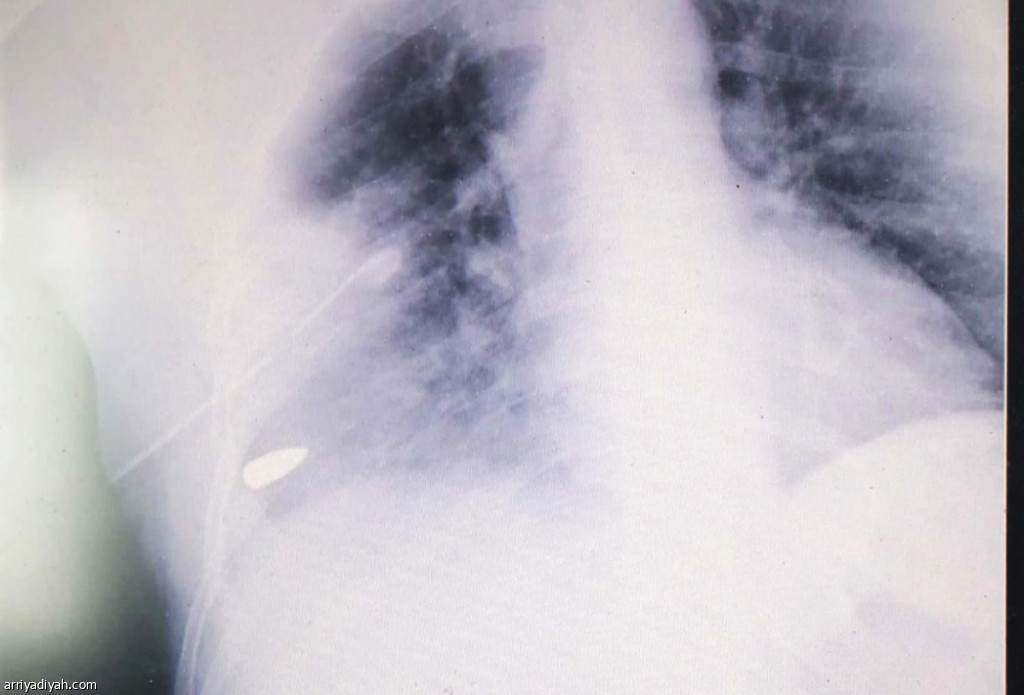
صورة التقطت للأشعة الضوئية التي أجريت لمدرب الشعلة تُظهر استقرار الرصاصة في جسده (خاصة بالرياضية)
الرياض ـ مازن العسرج 2019.10.30 | 01:37 am

تفاجأ أحمد فتحي، مدرب لعبة التايكوندو في نادي الشعلة، بطلقة نارية طائشة مجهولة المصدر، تصيبه في أسفل الكتف أثناء وجوده في الساحة الخارجية لمقر النادي.
وأوضح لـ "الرياضية" سعود الضحوك، الأمين العام لنادي الشعلة، أن الطلقة النارية الطائشة أصابت المدرب، ليُنقل على إثرها إلى مستشفى الملك خالد في الخرج لتلقي العلاج اللازم، مبينًا أن حالته كانت حرجة لحظة إسعافه ونقله إلى المستشفى.وقال: "لا تزال إدارة النادي تتابع حالة المدرب، وسخَّرت كافة الإمكانات المتاحة حتى خروجه سالمًا معافى بإذن الله".